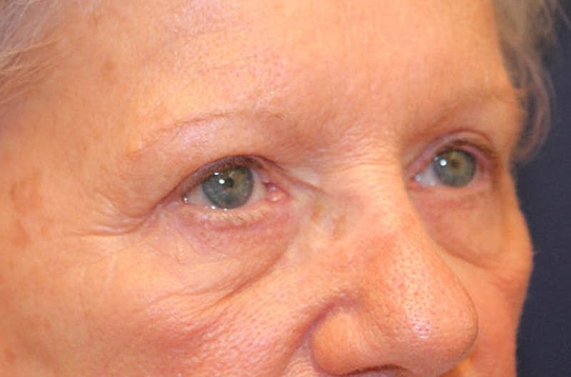
This woman underwent upper lid blepharoplasty for cosmetic enhancement. She is photographed over a year after surgery. Individual results may vary.
This is your life… make it confident.
Start Your Journey Today
For all your plastic surgery and non-surgical aesthetic needs in Baltimore, Dr. Shermak is the ideal choice. With her extensive experience and expertise, she provides exceptional care and personalized treatments to achieve beautiful and balanced results. Dr. Shermak's commitment to enhancing your natural beauty ensures that you will be in the best hands for your aesthetic journey.
Error with Form Submission
There was an error processing your form. Please try again later.